Recupera movilidad y habla gracias a cirugía de rescate cerebral vascular efectuada en Pensiones Civiles del Estado

- El procedimiento fue realizado a una mujer de 72 años de edad, por el médico especialista Alejandro Rodríguez Orozco con el equipo de hemodinamia del Hospital Ángeles Chihuahua
Sábado 23 Septiembre 2023

Gracias a una cirugía de rescate cerebral vascular practicada por especialistas de Pensiones Civiles del Estado, una derechohabiente de 72 años de edad diagnosticada con embolia, recuperó la movilidad y el habla, con lo que mejorará su calidad de vida y la de su familia.

La cirugía fue realizada por el médico radiólogo neuro-intervencionista Alejandro Rodríguez Orozco, con el equipo de hemodinamia del Hospital Ángeles Chihuahua.

La paciente, con antecedente de arterioesclerosis y lesiones en las carótidas, perdió la fuerza de forma súbita en la mitad de su cuerpo, presentó afasia, pérdida del lenguaje y parálisis facial.

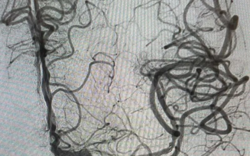
Mediante una resonancia magnética se le detectó la obstrucción de una arteria por un coágulo, fue identificada la zona afectada y se efectuó el rescate que consistió en introducir catéteres desde la ingle hasta el cerebro.

Con este procedimiento se logró que, de nueva cuenta haya circulación sanguínea hacia el cerebro de la derechohabiente; el lenguaje y el movimiento los recuperará paulatinamente conforme progrese con las sesiones de fisiatría, tratamiento farmacológico y cambios en el estilo de vida.

La arterioesclerosis se produce cuando los vasos sanguíneos que llevan el oxígeno y los nutrientes del corazón al resto del organismo (arterias) se engrosan y endurecen.

En ocasiones esa condición restringe el flujo sanguíneo a los órganos y a los tejidos y a veces se rompe alguna de las placas, lo que provoca el desprendimiento de un coágulo que obstruye las arterias cerebrales.

El especialista, Alejandro Rodríguez Orozco, con 8 años en Pensiones Civiles, es uno de los 302 médicos con los que cuenta la institución en la delegación Chihuahua.